エコーでよく分かる骨折

先日、足首を捻ってしまい「痛くてどうしようもない」とのことで、他院から転院されてきた患者さんがいらっしゃいました。

整形外科では「レントゲンで骨折はない」と診断を受け、サポーターと松葉杖を処方されたそうです。そして「1週間経っても松葉杖なしで歩けなければCT検査をしましょう」と言われたとのこと。
正直ツッコミどころ満載ですが…実はこうしたケースは珍しくありません。

翌日、あまりの痛みに耐えかねて当院へ来院されました。
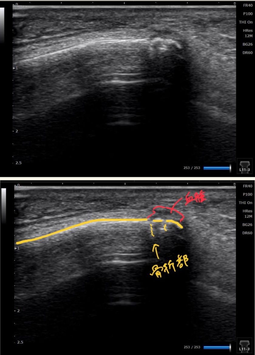
観察すると、外果(外くるぶし)の下方に皮下出血があり、腓骨遠位端を押すとピンポイントで強い痛みを訴えました。これは骨折を強く疑う所見です。

そこでエコーを用いて確認すると――やはり骨折を疑う画像がしっかり観察できました。

骨折を見逃さないために大切なこと

どんな検査もそうですが、ただ漠然と画像を眺めるだけでは骨折を見逃してしまいます。
大切なのは以下の流れです。

  • まずしっかり視診・触診で所見をとる

  • 疑わしい部位を絞り込む

  • その部位を正確に画像化して「よく見る」

このプロセスを踏むことが、見逃しを防ぐために欠かせません。

エコーとレントゲンの違い

ちなみにエコーはレントゲンよりも分解能が高いため、レントゲンでは映らない小さな骨折も確認できることがあります。
ただし、一度に見られる範囲は狭いため、全体像を把握するにはレントゲンが優れています。

つまり「これさえあれば完璧!」という検査機器は存在せず、それぞれにメリットとデメリットがあります。結局は“使う人の判断力と技術”が大切になるのです。

まとめ

今回の患者さんは、当院で適切な固定を行い、現在は順調に回復されています。
「痛みはあるのにレントゲンでは異常なし」と言われても、骨折が隠れていることはあります。
少しでも不安や疑問を感じたら、遠慮なくご相談くださいね。

コメントを残す

メールアドレスが公開されることはありません。 が付いている欄は必須項目です

CAPTCHA